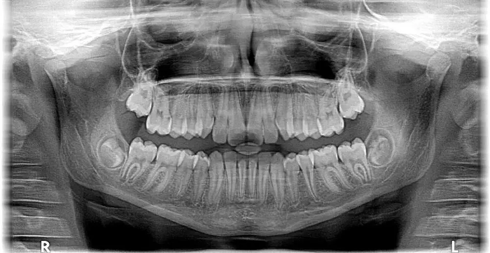
Brilio.net - Gigi bungsu, yang dikenal juga sebagai gigi geraham ketiga, biasanya muncul pada usia antara 17 hingga 25 tahun. Meskipun sebagian orang tidak mengalami masalah serius, bagi sebagian lainnya, kemunculan gigi bungsu bisa menjadi sumber ketidaknyamanan dan bahkan menimbulkan komplikasi serius.
Pada dasarnya, gigi bungsu adalah sisa evolusi dari nenek moyang kita yang membutuhkan tambahan gigi geraham untuk mengunyah makanan keras dan mentah. Namun, dengan perubahan pola makan manusia modern dan evolusi struktur rahang, ruang untuk gigi bungsu menjadi semakin sempit. Akibatnya, gigi bungsu sering kali tumbuh miring, terjebak di dalam gusi, atau menekan gigi lain sehingga menyebabkan rasa sakit dan peradangan.
Gejala umum yang dirasakan saat gigi bungsu mulai tumbuh meliputi nyeri pada bagian belakang gusi, bengkak, kesulitan membuka mulut, dan kadang-kadang sakit kepala. Beberapa orang juga mengalami infeksi yang disebabkan oleh penumpukan bakteri di sekitar gigi yang tumbuh sebagian. Hal ini dapat memperburuk keadaan dan memerlukan perhatian medis segera.
Memahami tanda-tanda dan cara penanganan tumbuhnya gigi bungsu sangat penting untuk mengurangi ketidaknyamanan dan mencegah komplikasi yang lebih serius. mengkonsultasikan kepada dokter spesialis terkait pencabutan bisa jadi solusi tepat ketika merasakan gangguan di rahang bagian belakang. Pencabutan gigi bungsu yang tidak bisa dilakukan sembarangan harus melalui langkah tepat.
Berikut gambaran efek samping jika kamu tak segera komunikasikan pencabutan gigi bungsu, seperti dilansir brilio.net dari berbagai sumber, Jumat (31/5).
1. Merusak gigi di sebelahnya
Gigi bungsu yang tumbuh miring atau tidak tepat seringkali dapat mengikis gigi sebelahnya. Hal ini menyebabkan rasa sakit bahkan kerusakan pada gigi tetangga. Ketika gigi bungsu tidak memiliki ruang yang cukup untuk tumbuh dengan baik, mereka dapat menekan gigi di sebelahnya, menyebabkan erosi pada enamel dan meningkatkan risiko pembusukan.
Dalam kasus seperti ini, pencabutan gigi bungsu seringkali diperlukan untuk mencegah kerusakan lebih lanjut dan mengurangi rasa sakit. Pencabutan ini tidak hanya membantu menjaga kesehatan gigi yang berdekatan tetapi juga mencegah masalah ortodontik dan infeksi yang dapat timbul akibat gigi bungsu yang tumbuh tidak normal.
2. Ruang mulut tidak mencukupi
efek samping jika gigi bungsu tidak dicabut
pixabay.com
Ketika gigi bungsu tumbuh tetapi tidak memiliki ruang yang cukup di dalam mulut, hal ini dapat menyebabkan berbagai masalah seperti impaksi, di mana gigi bungsu terjebak di bawah gusi atau hanya sebagian keluar. Impaksi ini bisa menimbulkan rasa sakit, pembengkakan, serta struktur rahang yang bermasalah.
3. Struktur gigi yang tidak rapi
efek samping jika gigi bungsu tidak dicabut
pixabay.com
Gigi bungsu yang tumbuh di ruang yang tidak cukup dapat mendorong gigi-gigi lain dari posisi aslinya. Hal ini mengakibatkan gigi menjadi berjejal atau tumpang tindih, yang dapat memengaruhi penampilan estetis serta fungsi pengunyahan. Ketidakrapian ini juga mempersulit kebersihan mulut, karena sisa makanan dan plak lebih mudah terjebak di antara gigi yang berjejal, meningkatkan risiko karies dan penyakit gusi. Untuk mencegah kerusakan lebih lanjut dan menjaga keselarasan struktur gigi, pencabutan gigi bungsu yang menyebabkan masalah ini sering kali diperlukan. Prosedur ini membantu memastikan bahwa gigi lainnya tetap dalam posisi yang benar dan memudahkan perawatan kebersihan mulut.
4. Menimbulkan infeksi
efek samping jika gigi bungsu tidak dicabut
pixabay.com
Bakteri dapat berkembang biak di area mulut yang rentan luka. Gigi bungsu dapat menyebabkan infeksi ketika tidak diperhatikan pertumbuhannya. Kondisi ini disebut perikoronitis. Dalam kasus infeksi yang parah, dapat menyebar ke jaringan sekitarnya, menyebabkan abses atau infeksi yang lebih luas. Jika tidak ditangani, infeksi ini juga bisa mempengaruhi kesehatan umum, menyebabkan demam dan masalah kesehatan lainnya. Oleh karena itu, pencabutan gigi bungsu yang berisiko tinggi menyebabkan infeksi adalah langkah pencegahan yang penting untuk menjaga kesehatan mulut dan keseluruhan tubuh.
5. Pertumbuhan gigi tidak optimal
Pengambilan langkah untuk mencabut gigi bungsu ketika terdeteksi pertumbuhannya bermasalah baik dilakukan untuk mencegah komplikasi yang lebih serius di kemudian hari. Dengan mencabut gigi bungsu yang bermasalah lebih awal, risiko penyakit gusi dan gangguan ortodontik dapat diminimalkan, sehingga menjaga kesehatan mulut dan mencegah rasa sakit serta komplikasi yang lebih parah di masa mendatang.
6. Gigi sulit dibersihkan
efek samping jika gigi bungsu tidak dicabut
pixabay.com
Gigi bungsu yang tumbuh tidak sempurna dapat menyebabkan masalah kebersihan mulut karena sulit dijangkau saat menyikat atau membersihkan gigi, meningkatkan risiko pembentukan plak hingga gigi berlubang. Oleh karena itu, dalam situasi seperti ini, pencabutan gigi bungsu sering kali dianjurkan untuk mencegah komplikasi lebih lanjut dan memastikan kesehatan mulut yang optimal.
7. Penyebab bau mulut
Sisa makanan dan plak yang terperangkap di sekitar gigi bungsu dapat membusuk dan menyebabkan bau mulut yang tidak sedap. Selain itu, infeksi seperti perikoronitis yang sering terjadi di sekitar gigi bungsu yang tidak tumbuh sempurna dapat memperburuk masalah bau mulut. Dengan mencabut gigi bungsu yang bermasalah, kebersihan mulut menjadi lebih mudah dijaga, mengurangi risiko infeksi dan bau mulut, serta meningkatkan kesehatan mulut secara keseluruhan.
Magang/Robiul Adil Robani




































