Brilio.net - Banyak orang yang mengekspresikan rasa cinta atau kasih sayang kepada pasangan dengan mengecup bibir. Memang sih, berciuman memiliki banyak manfaat kesehatan dan mempererat hubungan bagi pasangan yang lagi dimabuk asmara. Tapi tahu nggak, kalau ciuman pada bibir menyebabkan banyak penyakit yang cukup berbahaya? Nah lho..
Menurut sebuah penelitian, setiap kali seseorang berciuman selama 10 detik, maka sekitar 80 juta kuman akan berpindah dari orang tersebut pada pasangannya dan pasangan yang sering berciuman setiap harinya pun pada akhirnya akan memiliki jenis kuman yang hampir sama.
Tak hanya itu, beberapa jenis penyakit lainnya juga bisa ditularkan melalui ciuman bibir. Berikut rangkuman lengkapnya seperti dilansir brilio.net dari laman Wittyfeed, Rabu (20/4):
1. Herpes
Herpes adalah penyakit radang kulit yang ditandai dengan munculnya gelembung-gelembung berisi air pada kulit penderita. Herpes disebabkan oleh virus. Virus herpes sebenarnya terdiri dari dua jenis, yaitu Herpes Zoster dan Herpes Simpleks.
Herpes yang menyerang mulut disebut Herpes Simpleks dan bentuknya seperti sariawan di bibir. Jenis virus ini dapat ditularkan melalui kontak langsung dengan virus saat seseorang berciuman dengan penderita infeksi herpes di daerah bibir dan sekitarnya.
2. Hand, Foot, and Mouth Disease (HFMD)
Penyakit yang dalam dunia kedokteran dikenal sebagai penyakit Kaki, Tangan dan Mulut (KTM) ini sering disebut juga sebagai Flu Singapura. Infeksi KTM adalah penyakit virus akut yang muncul sebagai erupsi vesikular di mulut. Penyakit KTM sangat menular dan sering terjadi dalam musim panas. Penularannya melalui kontak langsung dari orang ke orang, salah satunya melalui air liur saat berciuman.
3. Kutil
Kutil muncul karena adanya penebalan lapisan luar kulit secara berlebihan. Penyebabnya virus HPV yang memang menyerang kulit. Kutil dapat menular melalui kontak langsung dengan penderita, terutama jika ada luka di dalam mulut kemudian berciuman bibir yang dalam.
4. Mononucleosis

Gejala yang dapat ditemukan adalah sakit tenggorokan, demam, gelisah, rasa tidak enak badan, peradangan, mual, hingga kehilangan nafsu makan. Penyakit ini juga dapat mempengaruhi beberapa bagian tubuh dan menyebabkan terjadinya beberapa penyakit lain, seperti radang tenggorokan hingga hepatitis.
4 Penyakit lainnya lebih parah lagi. KLIK NEXT
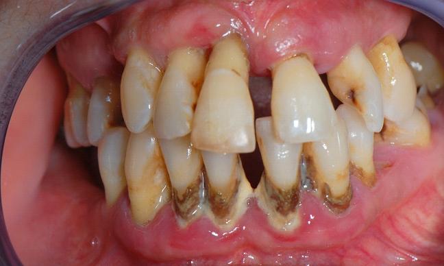
5. Periodontitis
Periodontitis merupakan infeksi gusi berat yang dapat menyebabkan kerusakan pada jaringan lunak dan tulang penyangga gigi. Penyakit ini ditransfer melalui air liur. Tak hanya lewat ciuman, pakai sikat gigi yang sama atau bahkan berbagi makanan juga bisa menyebabkan terkena periodontitis.
Meskipun begitu tak boleh dianggap enteng dan harus segera diobati. Karena bisa saja menyebabkan gigi tanggal sehingga bakteri yang ada di dalam jaringan gusi juga bisa masuk ke aliran darah dan menyerang organ tubuh lainnya, misalnya paru-paru dan jantung.
6. Meningitis
Meningitis adalah istilah medis yang digunakan untuk menggambarkan infeksi atau radang pada meninges (selaput pelindung), meliputi radang selaput pada otak dan sumsum tulang belakang. Penyakit yang disebabkan oleh bakteri ini dapat berpindah melalui kontak langsung seperti berciuman atau melalui tetesan air liur penderita.
7. Hepatitis B
Infeksi virus hepatitis B terjadi ketika darah dan air liur orang yang terinfeksi berkontak langsung dengan aliran darah atau selaput lendir orang lain. Seseorang lebih mungkin terinfeksi saat berciuman jika mereka berdua memiliki luka terbuka di sekitar mulut sehingga memungkinkan virus masuk ke dalam darah.
8. Influenza
Influenza umumnya ditularkan melalui udara. Tapi dapat dengan mudah ditularkan dari satu orang ke orang lain dengan pertukaran air liur atau bahkan bersin. Jadi, kalau kamu berciuman dengan penderita flu atau pilek, virus akan berpindah ke tubuh kamu. Apalagi kalau daya tahan tubuh kamu lagi lemah, nggak butuh waktu lama untuk menderita flu juga.
Recommended By Editor
- Ini penjelasan ilmiah soal tindihan, pasti kamu pernah ngalamin kan?
- Tidur tak teratur lebih berbahaya ketimbang tidak tidur seharian
- 13 Kesalahan tidak terduga yang membuat rumah jadi tidak sehat, duh!
- 7 Alasan kenapa rambut kemaluan tak boleh dicukur, jangan disepelekan!
- 5 Ilustrasi ngeri gambarkan ketika 'si manis' menggerogoti tubuhmu
- 10 Artis ini inspiratif sekali, sukses bisa kurus pakai diet sehat!
- Perlu nggak sih, cowok mencukur rambut ketiaknya?







































