Brilio.net - Organisasi Kesehatan Dunia (WHO) mempelajari beberapa kasus penyakit pernapasan yang secara klinis hampir sama dengan virus pneumonia, yang biasanya memunculkan gejala demam, batuk, dan sesak napas. Virus yang berasal dari Wuhan kini resmi ditetapkan sebagai COVID-19. Virus corona ini adalah virus yang sejenis dengan SARS (Sindrom Pernapasan Akut Parah) dan juga masuk kategori & Sindrom pernapasan Timur Tengah (MERS).
Dikutip dari web resmi Radiological Society of North America (RSNA), rsna.org, Senin (17/2), virus corona dalah virus yang menjangkit paru-paru. Gambaran klinis lengkap yang sehubungan dengan COVID-19 sendiri belum sepenuhnya jelas. Gejala ini dilaporkan termasuk pada gangguan pernapasan ringan sampai berat, dengan gejala batuk, demam, lalu kesulitan bernapas.
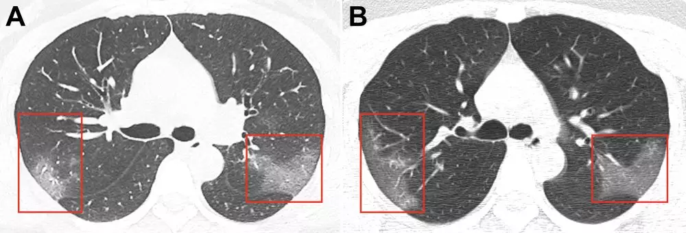
Namun beberapa waktu lalu, ahli radiologi memaparkan hasil CT scan paru-paru salah satu korban yang terjangkit virus corona.
foto: rsna.org
Seorang wanita berusia 33 tahun, datang ke rumah sakit dengan riwayat demam 5 hari disertai batuk yang tidak diketahui penyebabnya. Ketika masuk rumah sakit suhu tubuhnya 39,0 derajat celcius dan suara napas kasar.
Pada gambar A, terlihat adanya bercak di kedua paru-paru. Pakar ahli radiologi menamainya dengan bercak ground-glass. Bercak ini muncul sebelum pasien wanita itu mendapatkan perawatan khusus dari tim medis.
Sedangakan pada gambar B menunjukan terjadinya penyebaran bercak ground-glass, meski sudah mendapatkan perawatan 3 hari. Penyebaran ini disebebkan virus corona yang menjangkiti pasien.
Pakar radiologi menjelaskan, orang yang terjangkit virus corona hampir pasti akan mengalami batuk, demam yang disebabkan bercak ground-glass.
Namun, para pakar radiologi juga menjelaskan bahwa CT scan saja tidak cukup untuk menentukan seorang pasien terjangkit virus corona atau tidak. Perlu observasi lebih mendalam untuk mendiagnosisnya.
Recommended By Editor
- Oh, begini caranya bikin si kecil minta sendiri sarapan pagi berbekal sereal bernutrisi nan lezat
- Kehabisan masker, wanita ini kenakan kostum yang tak biasa
- Bukan cuma kata nenek, bidan juga setuju pentingnya jamu terstandar pasca persalinan
- Nenek 96 tahun dinyatakan sembuh dari virus Corona
- Cukup 5 menit si kecil jadi suka sarapan cuma berbekal sereal? Ini ceritanya
- Ini tanggapan WHO soal penanganan Indonesia terhadap COVID-19
- Kembali pada keluarga, WNI dari Natuna dapat sertifikat kesehatan
- 5 Fakta WNI awak kapal pesiar Jepang yang negatif virus Corona
- Rayakan Hari Valentine, pria bagikan buket antivirus Corona
 
             
                             
                 
                 
                 
                 
                     
                 
                     
                        

 
                                 
                                 
                                 
                                 
                                         
                                         
                                         
                                         
                                         
                                         
                                         
                                         
     
                                 
                                 
                                 
                                 
                                 
                                 
                                 
                                 
                                 
                                 
                                         
                                         
                                         
                                         
                                         
                                         
                                         
                                         
     
                                         
                                         
                                         
                                         
                                         
                                         
                                         
                                        
