Brilio
×
Sign In

Hello There

Sign In to Brilio

Welcome to our Community Page, a place where you can create and share your content with rest of the world

  Connect with Google
  1. BRILIO.NET
  2. »
  3. FOTO
  4. »
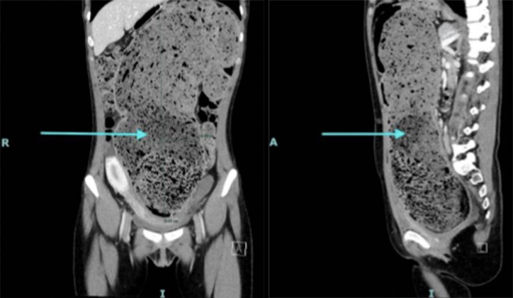
  5. Kisah wanita tak BAB 4 bulan, dokter ungkap kondisi perutnya bak dipenuhi tanah liat

Kisah wanita tak BAB 4 bulan, dokter ungkap kondisi perutnya bak dipenuhi tanah liat

Kisah wanita tak BAB 4 bulan, dokter ungkap kondisi perutnya bak dipenuhi tanah liat
Wanita tidak BAB 4 bulan isi perut seperti tanah liat © 2025 brilio.net
3 dari 3